
主訴
しっかりと噛むことができず固いものが食べられない。
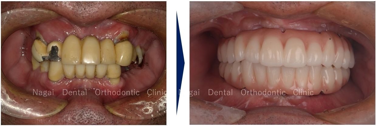
背景
他院での治療に疑問を抱き、セカンドオピニオンで来院された患者様でした。
右上に部分入れ歯を入れていましたが、噛み合わせが良くなく左ばかりで噛んでいるとのことでした。
右上のインプラント治療を考えられていましたが、Lさんの場合噛み合わせが深く、前歯にも負担がかかってしまっている状態でした。
以前にも上の前歯の差し歯が取れてしまったこともあり、その原因やこのままだと今後どうなってしまうのかなどご自身のお口の現状を説明し、全体的な噛み合わせを考えた治療を提案しました。
















